治疗方法

干细胞疗法:精密医学开放了生活中的新篇章

作为再生医学的核心技术,干细胞疗法通过静脉注射,局部注射(例如关节腔,海绵体,子宫腔,核核酸核),动脉干预,腰椎穿刺,刻板性脑部脑部手术或CT PRECISE PRECTISS PRECISE PRECESS PRECISE PRECTISS PRECISE PRESISE PRECTISS PRECISE PRESISE PRECTISS PRECISE PRESISE PRECTISS PRECISE PRECTISS PRECISE PRECTISS PRECISE PRECTISS PRECISE PRECTISS PRECISE PRECTISS PRECISE PREISS PRECISE。在治疗过程中,干细胞通过分化和再生,活跃因素的分泌,免疫微环境和其他机制来修复受损的组织和重建器官功能,并在神经系统疾病中显示出显着的疗效(骨关节炎),代谢疾病(糖尿病),肿瘤和其他领域。

它的优势反映在:精确的靶向,微创安全性和持久效果中。静脉注射可实现全身修复,局部注射精确作用于病变,CT/腰椎穿刺技术突破了血脑/脊髓屏障直接到中央系统。患者迅速康复,经历最小的疼痛,并可以与传统疗法结合使用以增强治疗作用。

我们的干细胞医学专家根据每个患者的特定状况,身体状况和遗传特征来量身定制手术计划。所有计划都进行了个性化的评估,以实现精确的治疗,严格遵循医疗标准,以确保安全性和有效性。

腰椎穿刺:中枢神经系统维修的目标分娩
腰椎穿刺干细胞移植是在局部麻醉下进行的微创手术,通常在15分钟内完成。在手术过程中,将一根细针小心地插入两个腰椎(一个没有脊髓组织的区域)之间的脊柱管中,以确保最小的解剖学破坏。在提取少量脑脊液(CSF)后,外科医生将干细胞直接施加到蛛网膜下腔中。然后,天然CSF循环将干细胞引导到脊髓和大脑,在大约六个小时内完成完整的分布周期。

腰椎穿刺的优势:干细胞移植:
1。安全且最小的不适
在局部麻醉下进行,具有可忽略的创伤,最小的疼痛和高安全性。
2。精确交付
干细胞直接运输到中枢神经系统(CNS),最大化治疗功效。

这种创新的方法为治疗神经系统疾病(例如脊髓损伤,多发性硬化症和神经退行性疾病)提供了新的希望。如果您有疑问或希望探索这种高级疗法,请与我们的医疗团队联系以获取专家指导,并量身定制的治疗计划,旨在恢复功能并振兴您的神经健康状况。
静脉干细胞疗法:全身更新,振兴的生活
静脉(IV)干细胞疗法是一种简单,方便的治疗,通过富含营养的溶液将干细胞注入血液中。一旦给药,干细胞就会系统地循环,并由人体的先天 *归巢效应 *引导,以朝向受损的组织迁移。在这些地点,它们释放了一系列的生物活性因子(包括生长因子和免疫调节剂)来重塑细胞结构,优化器官微环境并增强功能恢复。

IV干细胞疗法的优势:
1。无创和无痛
仅需要标准的静脉注射 - 无手术,最小的不适和零恢复停机时间。
2。快速且易于访问
简化的程序在几分钟内完成,非常适合寻求有效护理的患者。
3。综合再生
干细胞同时进入多个器官和组织,从而实现全身修复。

IV干细胞疗法为治疗诸如自身免疫性疾病,退行性疾病和与年龄有关的功能下降等疾病的新领域开放。与互补疗法结合使用时,它会放大协同的治愈结果。要了解更多信息或讨论个性化治疗方案,请与我们的医疗团队联系,以获取针对您独特的健康旅程量身定制的专家指导。
介入疗法:精确和效率,开创了一个新时代
介入治疗是在局部麻醉下进行的一种微创手术,通过血管通道直接将浓缩的干细胞直接传递到靶器官,以获得高度靶向的细胞效率结果。该过程通常需要90分钟。它被广泛应用于治疗疾病,例如肝硬化,糖尿病相关并发症(糖尿病性肾病,糖尿病脚),脊髓损伤,周围血管闭塞,以及包括肝脏,胃,胃,肺,结肠癌和卵巢恶性肿瘤在内的癌症。

介入疗法的关键优势:
1。精确靶向,增强的再生
干细胞以亚毫米准确的态度引导到患病组织(例如肝脏,胰腺,肾脏)以驱动功能恢复。
2。多系统疗法,综合益处
糖尿病患者的胰腺,肝,胃肠道和肾血管同时处理多个器官(EG)对干细胞进行治疗,同时处理诸如血管狭窄之类的问题,以进行多方面的恢复。
3。微创和快速恢复
低风险,几乎没有痛苦,停机时间很少,患者依从较高。
4。组合协议,协同结果
通过与药物灌注或其他疗法相结合,在肿瘤学上尤其有影响力来扩大功效。

拥抱介入疗法以开始新的健康章节。有关查询或个性化治疗计划,请立即与我们的医疗团队联系。我们致力于设计一种量身定制的策略,该策略与您独特的临床需求保持一致,使您能够获得活力和希望。
立体定向脑细胞疗法:精确恢复,更新的活力
立体定向性脑细胞疗法是一种先进的神经外科干预措施,它利用尖端的立体定向导航系统以精确的精度传递特定脑核和结构的干细胞。该治疗专为神经系统疾病(例如脑瘫,中风,脑外伤,脑损伤,帕金森氏病,阿尔茨海默氏病和高颈脊髓损伤)而设计。

立体定向性脑细胞疗法的优势:
1。亚毫米精度,有针对性的交付
先进的立体定向系统映射和目标病变区域具有微米级的精度,确保干细胞达到受损的神经网络,以优化治疗影响。
2。多模式修复,功能恢复
干细胞调节免疫反应,滋养神经元,刺激血管生成,并重建神经微环境以修复细胞,轴突和突触连接,从而恢复神经功能。
3。微创和快速康复
与传统的神经外科手术相比,这种方法可最大程度地减少创伤,加速恢复,稳定结果并减少术后并发症,从而确保患者的高度满意度。

立体定向性脑细胞疗法代表神经护理中的突破性边界,通过其精确,安全性和功效为患者提供了希望。为了探索这种创新的治疗方法如何重新点燃健康和活力,请与我们的医疗团队联系以获取专家咨询,并量身定制的治疗策略,旨在满足您的独特需求。
局部注射疗法:精确输送,最佳再生
局部注射疗法利用先进的成像指南(超声,CT,MRI)来查明组织损坏的组织,然后将干细胞或生物制剂直接直接侵入性地侵入式器官。这种方法利用了干细胞修复伤害,调节免疫力并增强血液流动的独特能力。应用程序包括:
- 脑瘫,中风,脑损伤和帕金森氏病的立体定向脑细胞疗法。
- 卵巢局部注射卵巢功能障碍。
- 男性勃起功能障碍的海绵体注射。
- 肌肉内注射肌肉退化性疾病。

局部注射疗法的优势:
1。亚毫米精度
成像引导的导航可确保干细胞达到精确的病变部位,即聚合腔,心肌组织,神经网络,以增强超靶向治疗。
2。高治疗密度
最大化损伤部位的干细胞浓度,加速了快速组织修复的分化和旁分泌因子分泌。
3。微创和快速恢复
在局部麻醉下用细规模进行,在确保患者舒适的同时最大程度地减少创伤和停机时间。
4。多功能应用程序
对于骨关节炎,心肌梗塞,神经系统损伤以及再生医学潜力的扩大,有效。

局部干细胞注射重新定义精度药物,为复杂条件提供变换溶液。随着技术的发展,这种方法有望在康复中解锁新的边界。对于个性化的见解或治疗计划,请咨询我们的医疗团队,以探索这种创新疗法如何恢复功能和希望。
干细胞内腔内注射:振兴男性气质,恢复活力
勃起功能障碍(ED)是一种普遍的男性健康问题,其特征是持续或反复地无法实现或保持足够的勃起以使性活动令人满意。我们对ED的干细胞疗法涉及在局部麻醉下精确的干细胞内注射干细胞,并根据患者特定的解剖学和生理因素定制注射部位。

干细胞内腔内疗法的优势:
1。微创和安全
在局部麻醉下进行,具有可忽略的创伤和可靠的安全性。
2。长期再生结果
干细胞通过修复受损的血管和神经组织来解决根部原因,从而提供持续的功能改善。
3。临床上显着的增强
促进血管生成,恢复神经信号并提高勃起的刚度和耐力。

随着再生医学中的突破,干细胞疗法正在重新定义ED治疗范例。如果ED影响您的生活质量,请咨询我们的泌尿外科和再生医学专家。我们将设计一个个性化协议,以帮助您获得信心,活力和亲密关系。
宫内粘附的干细胞疗法:重新点燃生育能力
宫内粘附(IUA),也称为Asherman综合征,是由子宫(孕后或非怀孕后)创伤引起的,会损害子宫内膜基础层,导致子宫腔的部分或完全阻塞。症状包括因子宫内膜纤维化而导致的不规则月经,不育和反复流产。作为一种先进的再生医学方法,干细胞疗法现在为恢复子宫健康和生育能力提供了突破性的潜力。

它的工作原理:
干细胞直接注入子宫腔:
- 修复和再生受损的子宫内膜组织。
- 通过抗炎和抗纤维化作用减少炎症和纤维化**。
- 刺激血管生成以重建血管并改善血液流动。
- 恢复健康的子宫环境,增强生育能力。

IUA干细胞疗法的优势:
1。无麻醉和最小的不适
无需麻醉,消除相关风险。该过程是温和的,确保了积极的患者体验。
2。快速方便
简短的治疗课程(基于门诊)是繁忙日程安排的理想选择 - 无需住院。
3。可重复且有效
量身定制的重复注射优化结果,可显着提高子宫内膜质量和妊娠率。
4。高安全性
并发症的低风险,以严格的临床方案支持。

干细胞疗法将IUA治疗重新定义为安全,有效且以患者为中心的溶液。如果宫内粘连影响您的生育过程,请咨询我们的专家医疗团队。我们将设计一个个性化计划,以帮助您恢复生殖健康并重新点燃您对受孕的希望。
关节内干细胞疗法:恢复关节,收回活动能力
骨关节炎(OA)是最普遍的关节炎形式,它会随着年龄的增长而逐渐影响关节(尤其是老年人),导致疼痛,僵硬,肿胀,迁移率有限和关节畸形。常见症状包括毛皮菌(关节磨),积液和功能障碍。 OA的干细胞治疗涉及将干细胞直接注入受损的膝关节,以刺激自体软骨细胞和骨细胞的再生,减少炎症并促进软骨修复。

关节内干细胞疗法的优势:

1。高安全性
干细胞来自患者自身的身体(自体)或严格筛查的供体,以确保生物相容性和安全性。
2。微创和可重复
局部注射最小化创伤和停机时间。重复治疗可以定制以增强治疗结果。
3。快速和持续的缓解
快速症状缓解治疗后,再加上长期的组织修复。

随着再生医学的进步,干细胞疗法有望彻底改变OA管理。如果骨关节炎限制了您的运动自由,请咨询我们的专家,以制定重建关节,减轻疼痛并恢复活跃生活的个性化计划。
验证内干细胞疗法:精确修复,振兴脊椎椎间盘
验证内干细胞疗法是一种创新的再生方法,为退行性椎间盘疾病(例如腰椎间盘突出症和宫颈椎间盘突出症)提供了安全有效的解决方案。通过将干细胞直接注入核核(脊髓椎间盘的凝胶状核心)中,该疗法刺激了椎间盘修复和再生。干细胞释放抗炎因子,以减少椎间盘和周围组织中的炎症,改善养分供应,恢复椎间盘代谢,减轻疼痛,进一步的变性,并增强椎间盘高度,弹性和脊柱迁移率。

验证内干细胞疗法的优势:
1。微创和高精度
具有最小的创伤,快速恢复和并发症的风险低的针对性分娩。
2。长期结构修复
通过修复椎间盘组织和停止疾病进展来解决根本原因。

考虑这种疗法的患者应进行彻底的咨询和诊断成像(例如MRI),以确保候选资格。如果退化性椎间盘疾病会影响您的生活质量,请联系我们的医疗团队以进行专家评估,并制定个性化治疗计划,以恢复脊柱活力和功能自由。
支气管肺泡灌洗(BAL):用于增强肺部修复的精确输送
支气管肺泡灌洗(BAL)是一种通过支气管镜检查进行的微创诊断和治疗技术,该技术广泛用于诊断呼吸道疾病和干细胞疗法。它通常用于肺部疾病,例如慢性阻塞性肺疾病(COPD),肺纤维化,急性呼吸窘迫综合征(ARDS),肺部感染(例如,Covid-19)和肺癌。该过程涉及将无菌盐水灌输到肺中,然后检索灌洗液以获取肺部细胞和分泌的样品。此外,它是干细胞疗法的精确输送途径。干细胞激活受损区域中的肺组织再生,促进组织修复和再生,增强间质细胞活性,增加功能性血管网络并恢复正常的气体交换。

支气管肺泡灌洗的优势:
1。精确交付,有针对性的维修:
干细胞通过BAL直接传递到受伤的肺部区域,从而显着提高了治疗准确性和功效。
2。微创,多方面的好处:
BAL提供的优势包括最小的侵入性,快速恢复,精度和可重复性。

在进行支气管肺泡灌洗之前,患者应进行彻底的咨询和评估,以确保治疗安全和有效性。如果您对BAL在干细胞疗法中的作用有其他疑问或需要其他指导,请联系我们的医疗团队。我们致力于为您的需求量身定制专家建议和个性化治疗计划。
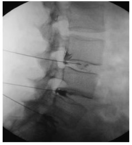
CT引导的脊柱注射:精确愈合,新希望

我们的专家团队开创了CT引导的主要注射技术,专为脊髓损伤治疗中的干细胞疗法而设计。在过程中,实时CT成像会生成脊柱的动态3D视觉效果,从而使外科医生可以旋转和分析多维空间中的断裂位置。通过健康的解剖途径,小心地将针头前进,避免了骨障碍物。当外科医生将针引导针对脊髓时,系统会连续更新成像,以验证脊髓和椎骨之间的轨迹角度和空间关系,以确保绝对的精度和安全性。该技术通常与腰椎穿刺或静脉内干细胞疗法结合使用,以增强功效。

CT引导的脊柱注射的优势:
1.微创和安全
不需要重大切口。在局部麻醉下进行,以最小的创伤,失血和后术后疼痛进行,从而可以快速康复。
2。亚毫米精度
CT引导允许以无与伦比的精度实时测量和靶向伤害部位。

CT引导的脊柱注射为脊髓损伤患者提供了开创性,安全且有效的解决方案,可显着改善临床结果和生活质量。如果您或亲人正在与脊髓损伤作斗争,请立即咨询我们的专业医疗团队。我们将共同制定一个个性化的治疗计划,以重新点燃希望并赋予您重新独立的旅程。


传统中药治疗方法

在传统中药世界中,疾病是人体发出的信号,而我们的TCM专家是解释这些信号的智者。他们使用多种疗法,这些疗法已被传递了数千年,以量身定制每个患者的个性化治疗计划,使治疗不仅有效,而且还充满了温暖。

当您遇到颈脊利病时,针灸和莫西布斯特专家将使用薄的银针精确地刺激穴位,疏通子午线并缓解疼痛;面对慢性胃炎,传统的中药从业人员将准备一种使胃和中和胃中和的配方,将传统的古代配方与现代需要建立温暖和药用的香气相结合; Tuina治疗师使用温和的技术来缓解肌肉张力,从而使身体恢复平衡和舒适。

我们更加重视“预防疾病发生”的概念,并通过身体识别,季节性调节和莫西伯氏症医疗保健,我们在疾病首次出现时帮助您及时干预。无论是针灸和少量,按摩,拔罐还是中医调节,我们的TCM专家都将通过专业精神和关怀开始健康的身心和谐之旅。

针灸:解锁健康并恢复身体平衡
作为中药(TCM)的基石,针灸具有千年来的历史,现在在全球范围内被公认为是一种受人尊敬的治疗实践。通过刺激特定的穴位,这种古老的艺术调节了“气”(重要能量)和血液的流动,激活人体先天的愈合能力,并有效地解决各种疾病,同时减轻症状。

针灸在临床上被证明可以治疗多种疾病,包括慢性疼痛,宫颈脊椎病,腰椎间盘突出症,偏头痛,失眠和消化系统疾病。在治疗期间,获得许可的从业人员对单个宪法和条件量身定制疗法,精确地针对可剂量的无菌针头瞄准穴位,以确保安全舒适的体验。现代研究验证了针灸刺激内啡肽释放,增强局部血液循环并调节神经系统功能的能力,从而提供了显着的抗炎,镇痛和免疫调节的益处。

我们的专家针灸团队将经验丰富的临床专业知识与悠久的子午理论和现代医学知识相结合,以设计个性化的治疗计划。无论是管理急性疼痛还是慢性病,针灸都为恢复身体和心灵之间的和谐提供了一种自然,安全和有效的方法。
治疗性按摩:利用双手唤醒身体的先天治愈能力
TCM治疗按摩植根于2,000年的遗产,是一种整体实践,可以通过熟练的子午线,忠实点和肌肉群来激活人体的自我修复机制。通过调节“ Qi”(重要能量)和血液的流动,它可以恢复物理平衡。我们的从业人员将TCM原理与现代解剖结合在一起,采用使牢固性和温柔与目标问题领域保持精确度的技术 - 使疼痛,增强流动性和振兴功能。

临床对颈椎病,腰椎椎间盘突出症,肩膀冻结等状况具有临床有效的效果,治疗性按摩利用揉捏,压迫,滚动和抓握技术来释放肌肉张力,增强肌肉循环,并减轻炎症。对于那些经历次优健康的人,它还可以协调器官系统,减轻疲劳并增强免疫力。

每种治疗方法都遵循一个个性化的方案,适应每个患者的宪法和症状的压力,以确保安全性和有效性。无论是解决慢性疼痛还是保持日常健康,TCM治疗按摩都将专业精通和富有同情心的护理结合在一起,以培养整体幸福感。
catgut嵌入疗法:维持持久的活力维持健康
catgut嵌入疗法是传统针灸和现代医学的创新融合。通过将可吸收的医疗catgut植入特定的穴位,该疗法为子午线提供了持续的刺激,从而提供了长时间的治疗作用。它对于慢性疾病,疼痛管理和宪法调节特别有效,例如慢性胃炎,宫颈脊椎病,肥胖等。

在治疗过程中,TCM专家根据您的宪法和诊断选择精确的穴位,将皮肤凝结在皮肤下方。随着猫肠的逐渐溶解,它提供了连续,温和的刺激,以调节 * Qi *(重要的能量)和血流,从而增强了人体的自我修复能力。与传统的针灸相比,该方法扩展了治疗效果 - 持续时间为2-4周,从而最大程度地减少了频繁访问的需求。

安全,微创和科学扎根的catgut嵌入疗法结合了针灸的精度和长期的调节益处,使其成为管理慢性病的最佳选择。我们有执照的TCM从业人员以专业知识和专业的护理制定个性化的治疗计划,使您能够恢复持久的健康和活力。
拔罐疗法:恢复身体的轻巧和活力
拔罐疗法是一种珍贵的中药(TCM)珍贵的外部治疗,它使用负压刺激子午线和穴位,增强了“ Qi”(重要能量)和血液循环,以消除潮湿,缓解冷停滞,放松肌肉和关节。我们的TCM专家巧妙地将传统的火拔罐与现代真空杯结合在一起,采用了“移动拔罐”(动态滑行),“固定拔罐”(固定位置)或“ flash拔罐”(快速应用/拆除),以使您的宪法和条件量身定制效果和舒适性。

拔罐不仅是治疗,而且是整体振兴。通过激活人体的自我修复机制,它有助于恢复您的自然平衡。让这种悠久的疗法在数千年中精致,成为您可信赖的盟友,以实现持久的健康。
Moxibustion疗法:用温暖点燃身体的自我修复能力
Moxibustion是一种崇高的中药(TCM)的珠宝,利用莫格沃特(Artemisia argyi”)的温和温暖渗透到尖端和子午线,使“ Qi”(重要的能量)和血液融为一体,同时唤醒了人体本质的康复潜力。我们的TCM专家将这种2,000年历史的疗法应用于诸如冷湿停滞,脾脏不足,免疫力减弱等状况,提供精确但养育的护理。

通过燃烧靶向穴位附近的Moxa棍子,Moxibustion可以深入,舒缓的热量来消除内部寒冷,刺激血液流动并减轻疼痛和疲劳。无论是缓解慢性关节炎的僵硬,还是解决与子宫寒冷有关的月经不规则性,这种疗法都可以轻轻而变革的缓解。

我们的专家设计的个性化协议将现代医学见解与TCM原则融合在一起,以确保有效性和舒适性。在治疗过程中,莫格沃特(Mugwort)的泥土香气及其包围的温暖感会创造出平静的感官体验,从而为身心促进了深刻的放松。
TCM草药疗法:自然与科学的完美和谐

TCM草药疗法位于中药的核心,将智慧的数千年与现代技术融合在一起,以提供个性化的整体健康解决方案。我们的TCM专家团队掌握了“整体诊断和个性化治疗方法”的本质,采用了四种诊断方法(听力,听力/闻到,询问,询问和触诊(查看,聆听,倾听,询问和感觉),以准确地识别您的宪法和根本原因,为您的独特需求制定量身定制的治疗方法。

每个草药配方均来自天然植物药,经过精心挑选并科学地结合起来,以最大程度地提高功效和安全性。无论是解决慢性病,增强免疫力还是减轻次优健康状况,TCM草药都可以轻松地恢复人体的平衡。我们利用最先进的汤剂设备来保留药用成分的本质,同时提供诸如颗粒,药丸和其他形式的现代便利,以适合当代生活方式。

除了治疗疾病外,TCM草药疗法还侧重于调节“ Qi”(重要能量)和血液,平衡“阴”和“ Yang”,以重新启动您的活力。在科学的指导下,让大自然的赏金成为您终身健康的伴侣。


有任何疑问吗?
请与我们联系,我们的团队很乐意为您提供帮助。
预约 在线沟通